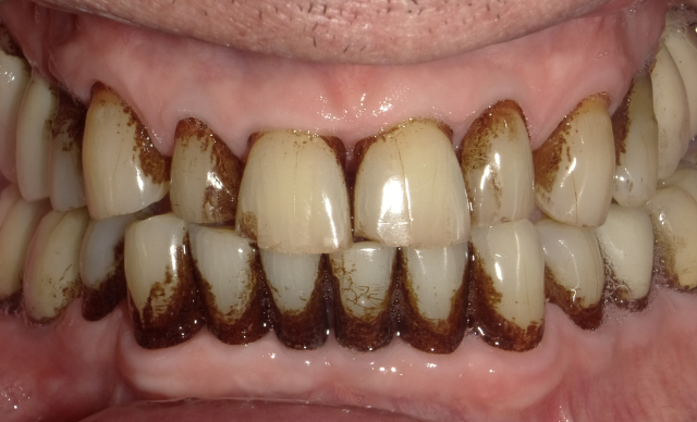
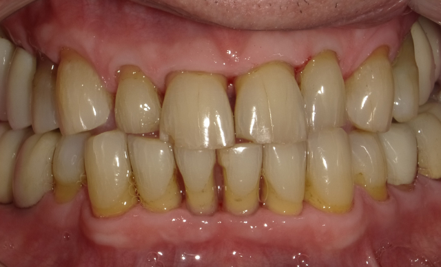
Patient Smile Gallery
Transforming smiles is our passion! In our before and after gallery, you’ll see remarkable transformations achieved through our advanced dental techniques. Each photo tells a story of improved confidence and health, showcasing everything from routine cleanings to complete smile makeovers. Witness how our personalized care and expertise can turn dental challenges into stunning results, ensuring every patient leaves with a brighter, healthier smile. Explore the difference we can make today!
All-on-X

Implants










Pinhole Gum Rejuvenation










Soft Tissue Graft


Guided Biofilm Therapy (GBT)


